Dental Veneers in Denver
Smile Essentials
Your choice for porcelain veneers
Veneers can completely transform your smile and your confidence. Its not all about white, pretty porcelain. They require the right blend of skill, artistry, and experience.
At Smile Essentials, we take a thoughtful, conservative approach to cosmetic dentistry. Every veneer is carefully planned to look natural, feel comfortable, and protect the long-term health of your teeth.
With our expertise and in-house lab, we’re able to deliver beautiful, customized results—whether you’re seeking a subtle refresh or a full smile makeover.
Schedule a visit
today with Dr. Kittell for a complimentary cosmetic consultation
**All images contain actual patients at Smile Essentials
Veneers Before & After Photos


"The GLow up"
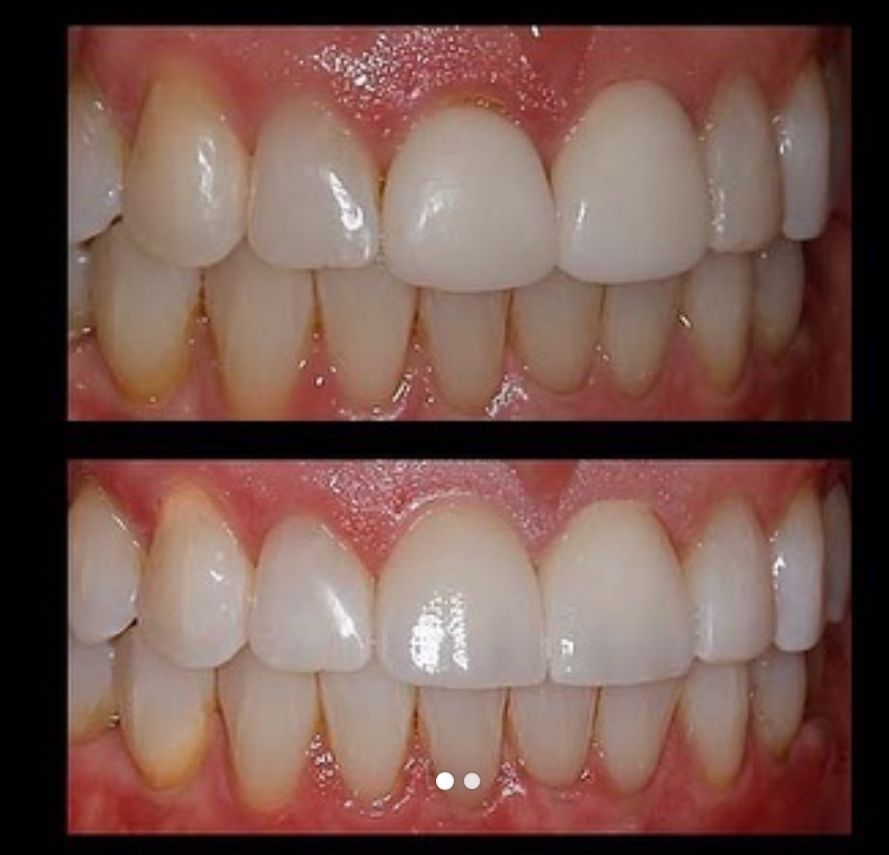
10 Upper Porcelain Veneers by Dr. Carolyn kittell
**All images contain actual patients at Smile Essentials

10 Upper Porcelain Veneers by Dr. Carolyn kittell
**All images contain actual patients at Smile Essentials

All Upper and Lower Porcelain Restorations by Dr. Carolyn kittell
**All images contain actual patients at Smile Essentials
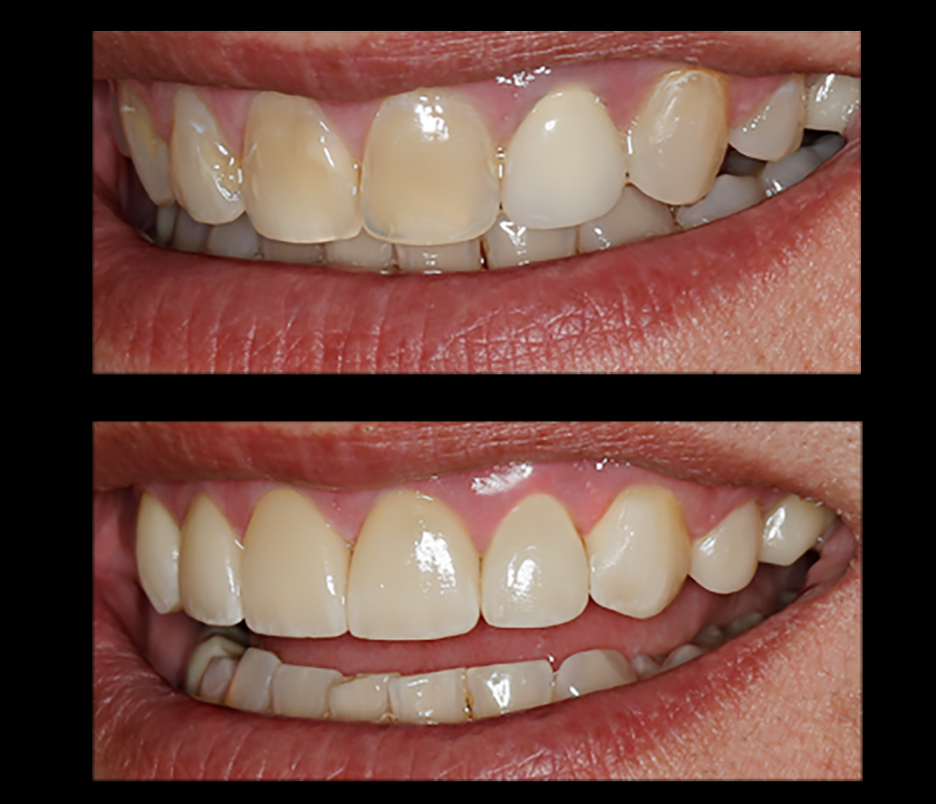
4 Replacement Porcelain Veneers by Dr. Carolyn kittell
The patient was dissatisfied with the veneers she had completed just a year prior. They appeared too wide and short for her liking. She chose to replace the four front veneers to achieve a more natural smile.


**All images contain actual patients at Smile Essentials
Featured Veneer Case:
"A
Clean Esthetic"
This patient came to us looking for a new set of veneers that would give her a "clean esthetic". This desired look gives a bright, white, seamless appearance that still have a natural feel.
Ready to replace old veneers, crowns, or implant restorations?
Click here to explore your options for a stronger, more natural-looking smile.



Featured Veneer Case:
"A
Natural Esthetic"
This patient came to us seeking a new set of veneers with a “natural esthetic.” The goal was to create a refreshed, confident smile that still looked authentic and age-appropriate. This style of veneer is perfect for patients who want an upgrade that enhances their smile without looking overly “done.”



Why Choose Smile Essentials for your dental veneers?
award winning
Dr. Carolyn Kittell is one of the top cosmetic dentists in the country. She has been named locally as a 5280 Top Dentist for Eight years in a row, as well as recognized by her colleagues for her beautiful minimally invasive cosmetic dentistry. Along with being a cosmetic dentist and practice owner, Dr. Kittell teaches cosmetic dentistry courses to her colleagues around the country.
Convenient & predicatble
At Smile Essentials, our in-house lab significantly enhances the patient experience by streamlining the cosmetic dentistry process for your utmost comfort.
Our temporary restorations closely mimic the final porcelain veneers, which empowers you to provide valuable feedback and ensures you have a say in the final outcome. This collaborative approach not only fosters confidence but also guarantees that your smile transformation is tailored to meet your unique aesthetic desires.
What an exceptional experience from start to finish! From the moment I walked in until the moment I left, the entire team was welcoming, accommodating, and incredibly helpful.
Dr. Kittell’s artistry, along with the skillful work of her technician Whitney and the rest of the team, exceeded all expectations—truly remarkable talent and attention to detail!
Smile Essentials went above and beyond to ensure my repair was nothing short of perfect. I couldn’t be happier with the results! I wholeheartedly recommend Smile Essentials to anyone looking for top-notch care and service!
I love my new smile!! Dr. Kittell is a master of her craft and gave me the literal smile of my dreams. I’m a very high fear patient (very hard time staying numb) who needed to replace very old and ill placed veneers.
I immediately felt comfortable with her and her staff (Megan you are amazing!). They went above and beyond to make me feel safe, heard, and to collaborate on making my smile perfect. They are worth every penny.
Please note that I met with 6 dentists specializing in veneers in the greater Denver area before choosing Smile Essentials - save yourself time and go here.
Additional Resources
Porcelain veneers are meticulously crafted in our lab, delivering an exceptional aesthetic enhancement. Dr. Kittell is dedicated to helping her patients achieve stunning smiles.
At Smile Essentials, our in-house digital lab enables us to produce all crowns and veneers with full oversight of quality and design.
Dental veneers offer a conservative solution with minimal removal of tooth structure, especially when compared to a full crown. They present an excellent opportunity to attain the radiant white smile makeover you've always desired.
























