Replacing Veneers, Crowns, Bridges & Implants in Denver
Replacing Old or Failing Porcelain Restorations
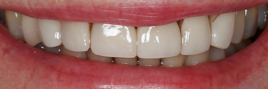
Veneers • Crowns • Implants • Bridges
Porcelain restorations — whether veneers, crowns, bridges, or implant restorations — aren’t meant to last forever. Over time, they can chip, stain, loosen, or simply stop looking and functioning the way they should.
At Smile Essentials, Dr. Carolyn Kittell and our in-house lab team specialize in evaluating and replacing older dental work with natural-looking, long-lasting results.
Why porcelain restorations may need to be replaced
- Even high-quality dental work can fail or age. Common reasons include:
- Chips or fractures from biting forces or trauma
- Staining or discoloration over time, especially at the edges
- Marginal breakdown where the porcelain meets natural tooth, leading to decay
- Gum recession that exposes the edge of the restoration
- Changes in bite that cause stress or premature wear
- Poor fit or design from previous work, causing discomfort or esthetic concerns
- Implant complications such as screw loosening or worn-out crowns
Signs your old restorations may be failing
You may benefit from an evaluation if you notice:
- Visible dark lines at the gumline
- Chips, cracks, or rough edges
- Sensitivity or soreness around restored teeth
- Food getting trapped near or under a crown/bridge
- A “bulkier” or unnatural look that doesn’t match surrounding teeth
- Restorations that feel loose or unstable
Our approach —
why many patients in the denver area
come to us to “redo” work
Replacing old dental work requires a careful, artistic approach. It’s not just about swapping out porcelain. it’s about protecting your remaining tooth structure, improving the fit, and achieving a natural, seamless look.
At Smile Essentials, we:
- Take time to diagnose the cause of the failure so your new restorations last
- Offer conservative preparation to preserve as much healthy tooth as possible
- Use digital planning so you can preview your new smile before we start
- Work closely with our in-house lab to control quality, shade, and fit at every stage
- Focus on custom results — no “one-size-fits-all” shapes or colors
Why our in-house lab
makes the difference
Because our Lab Technician (Whitney) works right here in our office, we can:
- Customize shape, texture, and color in real time
- Fine-tune shade with you present, ensuring the perfect match
- Shorten turnaround times without sacrificing quality
- Maintain direct collaboration between Dr. Kittell, Dr. Santarelli and Whitney for superior results
This level of control is hard to achieve when work is sent to an off-site lab.
Porcelain Veneers
We can replace older veneers that are chipped, stained, or poorly shaped. Our custom veneers are designed for a natural transition to your gumline and harmony with your surrounding teeth.
Porcelain or Ceramic Crowns
If your old crowns are bulky, mismatched, or breaking down at the margins, we can replace them with thinner, stronger, and more lifelike ceramics using modern materials like zirconia or lithium disilicate.
IMplant Restorations
Loose or worn implant crowns or bridges can be replaced while keeping the implant post in place, avoiding unnecessary surgery.
Porcelain Bridges
When a bridge fails, we evaluate the health of the supporting teeth or implants and create a new bridge that restores both function and esthetics.
Our step-by-step process for replacing old porcelain work
- Comprehensive evaluation — photos, digital scans, x-rays, and bite analysis to assess your current restorations
- Diagnosis & planning — determine the cause of failure and outline the best replacement options.
- Digital smile design — preview your new look before starting treatment.
- Provisional phase — temporary restorations let you “test drive” your new bite and smile.
- In-house fabrication - your final restorations are designed and hand-finished by our lab team for precision and beauty.
- Final placement — careful bonding or cementation, with fine adjustments for comfort and function.
- Ongoing protection — maintenance, nightguards if needed, and regular checkups to keep your restorations lasting.
Frequently Asked Questions about Replacing Failing Restorations
Q: Will replacing my restorations damage my teeth?
A: We take a conservative approach, removing only what’s necessary and preserving as much natural tooth structure as possible.
Q: How long will my new restorations last?
A: With proper care, porcelain restorations can last 10–20 years or
more. We design them with longevity in mind.
Q: Will I have to replace everything at once?
A: Not necessarily. We can phase treatment so you replace only what’s needed now and address others over time.
Q: Will the new ones look better than my old ones?
A: Almost always, yes. Modern ceramics and our in-house customization give us more control over color, shape, and fit — so your smile looks natural, not “done.”





















