White Spot Removal in
Denver Tech Center

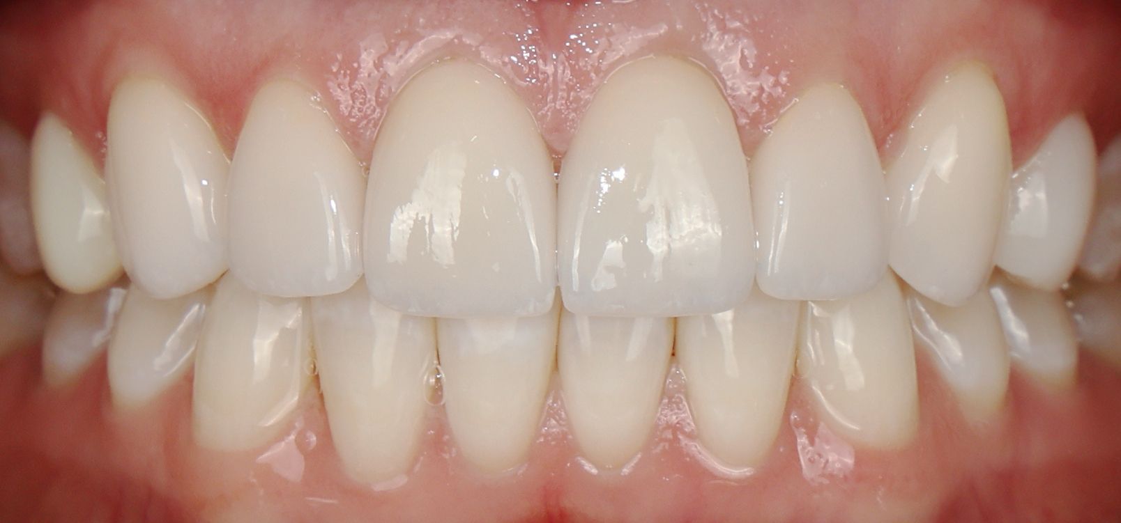
White Spot Removal
Dentist in Denver Tech Center
Smooth, Even, Spot-Free Smiles
White spots on teeth can distract from an otherwise healthy smile. At Smile Essentials in Denver Tech Center, we specialize in removing white spots and restoring a uniform, natural look — often with conservative, enamel-preserving treatments.
What Causes White Spots on Teeth?
White spots are areas where tooth enamel has lost or changed its mineral content, creating a lighter, chalky, or opaque patch. These can develop for several reasons:
- Fluorosis – Excess fluoride during tooth development
- Enamel Hypoplasia – Enamel that didn’t fully develop due to illness, trauma, or nutritional deficiency in childhood
- Orthodontic Decalcification – Early enamel breakdown around braces due to plaque and acid
- Acidic Diet or Habits – Frequent exposure to acidic foods, drinks, or stomach acid
- Post-Orthodontic Demineralization – White “ghost marks” left behind after braces are removed
These spots may be harmless, but they can affect your confidence — especially when they’re front and center in your smile.
White Spot Treatment Options
At Smile essentials, We believe in customized, conservative cosmetic dentistry. Every treatment plan starts with understanding the cause of the white spots and your smile goals.
- Enamel Microabrasion
A minimally invasive technique that gently polishes away a thin outer layer of enamel to soften or remove the white spot’s appearance.
- Cosmetic Bonding
Uses advanced tooth-colored composite material to cover and blend white spots seamlessly into your natural tooth shade. This is our most common recommended treatment as it offers a conservative, yet permanent, color-stable solution.
- Porcelain Veneers
For more stubborn or widespread white spots, veneers can create an entirely new, perfectly even tooth surface.
- Combination Approach
Some smiles benefit from a mix of microabrasion, bonding, and other cosmetic techniques to achieve the most natural-looking results.
**Not all white spots can be addressed in the same way. A complimentary cosmetic consultation. at Smile Essentials, we will offer you the tailored solutions necessary to achieve the smile you've always desired. Contact Us for a Complimentary Cosmetic Consult today.
Why Choose Smile Essentials for White Spot Removal?
- Conservative first approach – We preserve healthy enamel whenever possible
- In-house lab – Work directly with our expert technician for precise shade matching
- Experience in complex cases – Many patients come to us to fix work done elsewhere
- Real patient results – No stock images — what you see is what we do.





















